p53 (Phospho-Ser392) antibody
| Product name: | p53 (Phospho-Ser392) antibody |
| Source: | Rabbit |
| Purity: | >95% |
| Buffer Formulation: | Rabbit IgG in phosphate buffered saline (without Mg2+ and Ca2+), pH 7.4, 150mM NaCl, 0.02% sodium azide and 50% glycerol. |
| Applications: | WBIHCIFELISA |
| Storage: | store at -20°C. Avoid repeated freeze / thaw cycles |
| UOM: | 100ug |
Rabbit anti-p53 (Phospho-Ser392) polyclonal antibody
Catalog Number:IC125825
Product Profile
| ProductName | Rabbit anti-p53 (Phospho-Ser392) polyclonal antibody |
|---|---|
| AntibodyType | Primary Antibodies |
| Immunogen |
The antiserum was produced against synthesized peptide derived from human p53 around the phosphorylation site of Ser392. |
Key Feature
| Clonality | Polyclonal |
|---|---|
| Host Species | Rabbit |
| Tested Applications | |
|
WB:1:500~1:1000
More
IHC:1:50~1:100 IF:1:100~1:500 ELISA:1:1000 |
|
| Species Reactivity | |
| Concentration | 1 mg/ml |
| Purification | Affinity purified |
Target Information
| Gene Symbol | TP53 |
|---|---|
| Gene Synonyms |
Antigen NY-CO-13
More
Cellular tumor antigen p53 Phosphoprotein p53 TP53 Tumor suppressor p53 |
Database Links
| Entrez Gene | 7157 |
|---|---|
| Unigene | 654481 |
| OMIM |
133239 151623 161550 191170 202300 211980 260500 275355 |
| SwissProt ID | P04637 |
Application
-
Immunofluorescence
Immunofluorescence analysis of HeLa cells, using p53 (Phospho-Ser392) Antibody. The picture on the right is treated with the synthesized peptide.
-
Western blot
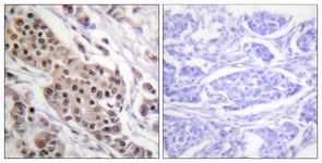
Immunohistochemistry analysis of paraffin-embedded human breast carcinoma, using p53 (Phospho-Ser392) Antibody. The picture on the right is treated with the synthesized peptide.Western blot analysis of extracts from 293 cells treated with Etoposide 25uM 60', using p53 (Phospho-Ser392) Antibody. The lane on the right is treated with the synthesized peptide
| Application Notes |
WB:1:500~1:1000
More
IHC:1:50~1:100 IF:1:100~1:500 ELISA:1:1000 |
|---|
Additional Information
| Form | Liquid |
|---|---|
| StorageInstructions | store at -20°C. Avoid repeated freeze / thaw cycles |
| Storage Buffer | Rabbit IgG in phosphate buffered saline (without Mg2+ and Ca2+), pH 7.4, 150mM NaCl, 0.02% sodium azide and 50% glycerol. |
Note: The product is for research use only,not for use in diagnostic or therapeutic procedures.












