NFkB p65 (phospho Ser536) Antibody
| Product name: | NFkB p65 (phospho Ser536) Antibody |
| Source: | Rabbit |
| Purity: | >95% |
| Buffer Formulation: | Antibody supplied in phosphate buffered saline (without Mg2+ and Ca2+), pH 7.4, 150mM NaCl, 0.02% sodium azide and 50% glycerol. |
| Applications: | IFIHCWB |
| Storage: | Store antibody at -20˚C for up to one year. |
| UOM: | 100ug |
NFkB p65 (phospho Ser536) Antibody
Catalog Number:ic286126
Product Profile
| Product Name | NFkB p65 (phospho Ser536) Antibody |
|---|---|
| Antibody Type | Primary Antibodies |
| Productdescription |
|
| Immunogen |
NFkB-p65 (Phospho-Ser536) antibody was raised against a peptide sequence around phosphorylation site of serine 536 (F-S-S (p) -I-A) derived from Human NFκB-p65. |
Key Feature
| Clonality | Polyclonal |
|---|---|
| Host Species | Rabbit |
| TestedApplications | |
|
Western Blot: 1:500~1:1000, Immunohistochemistry: 1:50~1:100, Immunofluorescence: 1:100~1:200:
|
|
| Species Reactivity | |
| Concentration | 1mg/ml |
| Purification | Affinity purified |
Target Information
| Gene Symbol | RELA |
|---|---|
| Alternative Names |
p65
More
NFKB3 PKB RAC RELA TF65 Transcription factor p65 p65 |
| MolecularWeight(MW) | 65 kDa |
| Tissue Specificity | This antibody detects endogenous level of NFκB p65 only when phosphorylated at serine 536. |
Database Links
| Entrez Gene | 5970 |
|---|---|
| Protein Accession | NP_001138610.1 |
Application
-
Application
Western blot analysis of lysed extracts from HepG2 and HL60 cells untreated or treated with TNF using NFκB-p65 (Phospho-Ser536).
-
Application
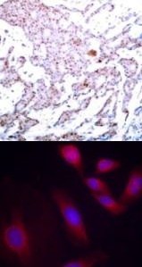
Top Image: Immunohistochemical analysis of paraffin-embedded human breast carcinoma tissue using NFκB-p65 (Phospho-Ser536). Bottom Image: Immunofluorescence staining of methanol-fixed HeLa cells using NFκB-p65 (Phospho-Ser536).
| Application Notes |
Western Blot: 1:500~1:1000, Immunohistochemistry: 1:50~1:100, Immunofluorescence: 1:100~1:200:
|
|---|
Additional Information
| Form | Liquid |
|---|---|
| StorageInstructions | Store antibody at -20˚C for up to one year. |
| Storage Buffer | Antibody supplied in phosphate buffered saline (without Mg2+ and Ca2+), pH 7.4, 150mM NaCl, 0.02% sodium azide and 50% glycerol. |
Note: The product is for research use only,not for use in diagnostic or therapeutic procedures.
|
|












