Rb (phospho Ser780) Antibody
| Product name: | Rb (phospho Ser780) Antibody |
| Source: | Rabbit |
| Purity: | >95% |
| Buffer Formulation: | Antibody supplied in phosphate buffered saline (without Mg2+ and Ca2+), pH 7.4, 150mM NaCl, 0.02% sodium azide and 50% glycerol. |
| Applications: | IFIHCWB |
| Storage: | Store antibody at -20˚C for up to one year. |
| UOM: | 100ug |
Rb (phospho Ser780) Antibody
Catalog Number:IC289588
Product Profile
| Product Name | Rb (phospho Ser780) Antibody |
|---|---|
| Antibody Type | Primary Antibodies |
| Productdescription |
|
| Immunogen |
Rb (Phospho-Ser780) antibody was raised against a peptide sequence around phosphorylation site of serine 780 (T-L-S (p) -P-I) derived from Human Rb. |
Key Feature
| Clonality | Polyclonal |
|---|---|
| Host Species | Rabbit |
| TestedApplications | |
|
Western Blot: 1:500~1:1000, Immunohistochemistry: 1:50~1:100, Immunofluorescence: 1:100~1:200:
|
|
| SpeciesReactivity | |
| Concentration | 1mg/ml |
| Purification | Affinity purified |
Target Information
| Gene Symbol | RB1 |
|---|---|
| Alternative Names |
RB
More
pRb OSRC pp110 p105-Rb FAK FAK1 P105-RB PP105 PP110 RB-1 RB1 |
| Molecular Weight(MW) | 110 kDa |
| Tissue Specificity | This antibody detects endogenous level of Rb only when phosphorylated at serine 780. |
Database Links
| Entrez Gene | 5925 |
|---|---|
| Protein Accession | NP_000312.2 |
Application
-
Application
Western blot analysis of lysed extracts from 3T3 cells untreated or treated with UV using Rb (Phospho-Ser780).
-
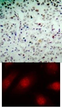
Application
Top Image: Immunohistochemical analysis of paraffin-embedded human breast carcinoma tissue using Rb (Phospho-Ser780). Bottom Image: Immunofluorescence staining of methanol-fixed HeLa cells using Rb (Phospho-Ser780).
| ApplicationNotes |
Western Blot: 1:500~1:1000, Immunohistochemistry: 1:50~1:100, Immunofluorescence: 1:100~1:200:
|
|---|
Additional Information
| Form | Liquid |
|---|---|
| StorageInstructions | Store antibody at -20˚C for up to one year. |
| Storage Buffer | Antibody supplied in phosphate buffered saline (without Mg2+ and Ca2+), pH 7.4, 150mM NaCl, 0.02% sodium azide and 50% glycerol. |
Note: The product is for research use only,not for use in diagnostic or therapeutic procedures.












