HER2 (phospho Tyr877) Antibody
| Product name: | HER2 (phospho Tyr877) Antibody |
| Source: | Rabbit |
| Purity: | >95% |
| Buffer Formulation: | Antibody supplied in phosphate buffered saline (without Mg2+ and Ca2+), pH 7.4, 150mM NaCl, 0.02% sodium azide and 50% glycerol. |
| Applications: | IFIHCWB |
| Storage: | Store antibody at -20˚C for up to one year. |
| UOM: | 100ug |
HER2 (phospho Tyr877) Antibody
Catalog Number:IC280815
Product Profile
| Product Name | HER2 (phospho Tyr877) Antibody |
|---|---|
| Antibody Type | Primary Antibodies |
| Productdescription |
|
| Immunogen |
HER2 (Phospho-Tyr877) antibody was raised against a peptide sequence around phosphorylation site of tyrosine 877 (T-E-Y (p) -H-A) derived from Human HER2. |
Key Feature
| Clonality | Polyclonal |
|---|---|
| Host Species | Rabbit |
| TestedApplications | |
|
Western Blot: 1:500~1:1000, Immunohistochemistry: 1:50~1:100, Immunofluorescence: 1:100~1:200:
|
|
| Species Reactivity | |
| Concentration | 1mg/ml |
| Purification | Affinity purified |
Target Information
| Gene Symbol | ERBB2 |
|---|---|
| Alternative Names |
NEU
More
NGL HER2 TKR1 CD340 HER-2 MLN19 HER-2/neu BHLHE39 C-erbB-2 ErbB2 |
| MolecularWeight(MW) | 185 kDa |
| Tissue Specificity | This antibody detects endogenous level of HER2 only when phosphorylated at tyrosine 877. |
Database Links
| Entrez Gene | 2064 |
|---|---|
| Protein Accession | NP_001005862.1 |
Application
-
Application
Western blot analysis of lysed extracts from A431 cells untreated or treated with EGF using HER2 (Phospho-Tyr877).
-
Application
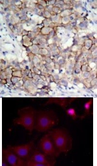
Top Image: Immunohistochemical analysis of paraffin-embedded human breast carcinoma tissue, using HER2 (Phospho-Tyr877). Bottom Image: Immunofluorescence staining of methanol-fixed MCF7 cells using HER2 (Phospho-Tyr877).
| ApplicationNotes |
Western Blot: 1:500~1:1000, Immunohistochemistry: 1:50~1:100, Immunofluorescence: 1:100~1:200:
|
|---|
Additional Information
| Form | Liquid |
|---|---|
| StorageInstructions | Store antibody at -20˚C for up to one year. |
| Storage Buffer | Antibody supplied in phosphate buffered saline (without Mg2+ and Ca2+), pH 7.4, 150mM NaCl, 0.02% sodium azide and 50% glycerol. |
Note: The product is for research use only,not for use in diagnostic or therapeutic procedures.












