CD227/Mucin 1 antibody
| Product name: | CD227/Mucin 1 antibody |
| Source: | Rabbit |
| Purity: | >95% |
| Buffer Formulation: | Rabbit IgG in phosphate buffered saline (without Mg2+ and Ca2+), pH 7.4, 150mM NaCl, 0.02% sodium azide and 50% glycerol. |
| Applications: | IHCIFELISA |
| Storage: | store at -20°C. Avoid repeated freeze / thaw cycles |
| UOM: | 100ug |
Rabbit anti-CD227/Mucin 1 polyclonal antibody
Catalog Number:IC123012
Product Profile
| Product Name | Rabbit anti-CD227/Mucin 1 polyclonal antibody |
|---|---|
| Antibody Type | Primary Antibodies |
| Immunogen |
The antiserum was produced against synthesized peptide derived from human CD227/Mucin 1. |
Key Feature
| Clonality | Polyclonal |
|---|---|
| Host Species | Rabbit |
| Tested Applications | |
|
IHC:1:50~1:100
More
IF:1:100~1:500 ELISA:1:1000 |
|
| Species Reactivity | |
| Concentration | 1 mg/ml |
| Purification | Affinity purified |
Target Information
| Gene Symbol | MUC1 |
|---|---|
| Gene Synonyms |
Breast carcinoma-associated antigen DF3
More
Carcinoma-associated mucin CD227 EMA Episialin H23AG MUC-1 mucin 1 Mucin 1 precursor mucin 1 transmembrane Peanut-reactive urinary mucin PEM PEMT Polymorphic epithelial mucin PUM Tumor-associated epit |
Database Links
| Entrez Gene | 4582 |
|---|---|
| Unigene | 89603 |
| OMIM |
113720 158340 |
| SwissProt ID | P15941 |
Application
-
Immunofluorescence
Immunofluorescence analysis of HeLa cells, using CD227/Mucin 1 (Ab-1243) Antibody. The picture on the right is treated with the synthesized peptide.
-
Immunohistochemical
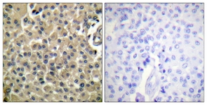
Immunohistochemistry analysis of paraffin-embedded human breast carcinoma tissue, using CD227/Mucin 1 (Ab-1243) Antibody. The picture on the right is treated with the synthesized peptide
| Application Notes |
IHC:1:50~1:100
More
IF:1:100~1:500 ELISA:1:1000 |
|---|
Additional Information
| Form | Liquid |
|---|---|
| StorageInstructions | store at -20°C. Avoid repeated freeze / thaw cycles |
| Storage Buffer | Rabbit IgG in phosphate buffered saline (without Mg2+ and Ca2+), pH 7.4, 150mM NaCl, 0.02% sodium azide and 50% glycerol. |
Note: The product is for research use only,not for use in diagnostic or therapeutic procedures.












