RSK1 Antibody
| Product name: | RSK1 Antibody |
| Source: | Mouse |
| Purity: | >95% |
| Buffer Formulation: | Ascitic fluid containing 0.03% sodium azide. |
| Applications: | ELISAIHCWB |
| Storage: | RSK1 monoclonal antibody can be stored at -20˚C, stable for one year. As with all antibodies care should be taken to avoid repeated freeze thaw cycles. Antibodies should not be exposed to prolonged high temperatures. |
| UOM: | 100ug |
RSK1 Antibody
Catalog Number:IC290407
Product Profile
| Product Name | RSK1 Antibody |
|---|---|
| Antibody Type | Primary Antibodies |
| Productdescription |
|
| Immunogen |
Ni-NTA purified truncated recombinant RSK1 expressed in E. Coli strain BL21 (DE3). |
Key Feature
| Clonality | Monoclonal |
|---|---|
| Isotype | IgG2a |
| Host Species | Mouse |
| TestedApplications | |
|
Western Blot:1:500 - 1:2,000 IHC(P):1:500 - 1:2,000 ELISA:Propose dilution 1:10,000. Determining optimal working dilutions by titration test.:
|
|
| Species Reactivity | |
| Concentration | 1mg/ml |
| Purification |
Target Information
| Gene Symbol | RPS6KA1 |
|---|---|
| Alternative Names |
MAPKAPK1A
More
RSK1 90 kDa ribosomal protein S6 kinase 1 S6K-alpha-1 RSK HU-1 MAPKAPK1A |
Database Links
| Entrez Gene | 6195 |
|---|---|
| Protein Accession | Q15418 |
Application
-
Application
Western blot analysis using RSK1 monoclonal antibody against truncated RSK1 - His recombinant protein.
-
Application
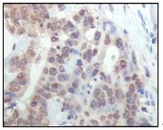
Immunohistochemical analysis of paraffin - embedded human colon adenocarcinoma (top) and human liver carcinoma (bottom) showing nuclear location using RSK1 antibody with DAB staining.
| ApplicationNotes |
Western Blot:1:500 - 1:2,000 IHC(P):1:500 - 1:2,000 ELISA:Propose dilution 1:10,000. Determining optimal working dilutions by titration test.:
|
|---|
Additional Information
| Form | Liquid |
|---|---|
| StorageInstructions | RSK1 monoclonal antibody can be stored at -20˚C, stable for one year. As with all antibodies care should be taken to avoid repeated freeze thaw cycles. Antibodies should not be exposed to prolonged high temperatures. |
| Storage Buffer | Ascitic fluid containing 0.03% sodium azide. |
Note: The product is for research use only,not for use in diagnostic or therapeutic procedures.












