NEDD1 Antibody (monoclonal) (M05)
| Product name: | NEDD1 Antibody (monoclonal) (M05) |
| Source: | Mouse |
| Purity: | >95% |
| Buffer Formulation: | Clear, colorless solution in phosphate buffered saline, pH 7.2 . |
| Applications: | WB |
| Storage: | For short-term storage, store at 4° C. For long-term storage, aliquot and store at -20ºC or below. Avoid multiple freeze-thaw cycles. |
| UOM: | 100ug |
NEDD1 Antibody (monoclonal) (M05)
Catalog Number:IC215151
Product Profile
| Product Name | NEDD1 Antibody (monoclonal) (M05) |
|---|---|
| Antibody Type | Primary Antibodies |
Key Feature
| Clonality | Monoclonal |
|---|---|
| Isotype | IgG2b |
| Clone Number | 7D10 |
| Host Species | Mouse |
| Tested Applications | |
|
WB~~1:500~1000:
|
|
| Species Reactivity | |
| Concentration | 1mg/ml |
| Purification |
Target Information
| Alternative Names |
FLJ35902neural precursor cell expressed
developmentally down-regulated 1 |
|---|---|
| MolecularWeight(MW) | 71966 Da |
| Tissue Specificity | NEDD1 (NP_690869, 561 a.a. ~ 661 a.a) partial recombinant protein with GST tag. MW of the GST tag alone is 26 KDa. |
Database Links
| Entrez Gene | 121441 |
|---|---|
| Nucleotide Accession | NP_690869 |
Application
-
Application
NEDD1 monoclonal antibody (M05), clone 7D10 Western Blot analysis of NEDD1 expression in Hela NE ( Cat # L013V3 ).
-
Application
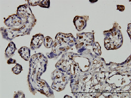
Immunoperoxidase of monoclonal antibody to NEDD1 ( Cat # AT3009a ) on formalin-fixed paraffin-embedded human placenta. [antibody concentration 0.75 ug/ml]
| Application Notes |
WB~~1:500~1000:
|
|---|
Additional Information
| Form | Liquid |
|---|---|
| StorageInstructions | For short-term storage, store at 4° C. For long-term storage, aliquot and store at -20ºC or below. Avoid multiple freeze-thaw cycles. |
| Storage Buffer | Clear, colorless solution in phosphate buffered saline, pH 7.2 . |
Note: The product is for research use only,not for use in diagnostic or therapeutic procedures.












